Appelez nous pour une consultation : 01 42 87 23 93

Nos services

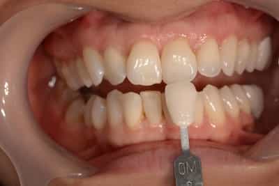
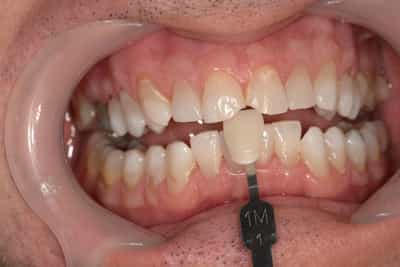
Eclaircissement Dentaire ou Blanchiment

L’éclaircissement dentaire est une technique consistant à rendre aux dents une couleur plus harmonieuse, plus en adéquation avec l’image que le patient veut donner de lui. Le blanc des yeux est une référence. A l’échelle du visage, la blancheur de la sclérotique de l’oeil (blanc des yeux) fait ressortir la couleur jaune des dents. Pour une meilleure harmonie, il faut aligner ces deux couleurs. Si les dents sont moins lumineuses, l’éclaircissement va améliorer l’apparence. Après éclaircissement, cette différence s’atténuera et donnera une harmonie du visage.

Souvent, à partir d’un certain âge, les dents changent de couleurs. Ces changements peuvent être dûs à des colorations extrinsèques. Dans ces cas, un simple nettoyage-polissage peut suffire à y remédier.

Dans d’autres cas, il s’agit d’une usure de l’émail. L’émail est responsable de la luminosité de la dent, et son usure a tendance à révéler la couleur de la dentine sous-jacente. Elle peut être marron, jaune, grise, orange… L’éclaircissement agit sur les colorations intrinsèques et extrinsèques, en surface et en profondeur.

Souvent, il sera plus judicieux de réaliser un éclaircissement avant un travail prothétique, ou des composites antérieurs, car les techniques d’éclaircissements ne sont pas actives sur les céramiques ou les composites.

On distingue deux types d’éclaircissement:

-le blanchiment externe : il concerne les dents vivantes et consiste à l’application d’un gel éclaircissant sur l’extérieur des surfaces dentaires. Cette technique de homebleaching nécessite obligatoirement l’accompagnement de votre dentiste. Il faut savoir gérer les éventuelles sensibilités pouvant apparaitre dans de rares cas. Le blanchiment doit être encadré dans son protocole et sur toute sa durée.

-le blanchiment interne : il concerne les dents dévitalisées (mortes). La technique est différente et consiste à déposer directement dans la dent un produit sur une période déterminée.

L’éclaircissement dentaire connait ses limites. On n’en réalisera pas chez la femme enceinte. Il n’est pas efficace sur les colorations dûes aux amalgames dentaires, couronnes ou matériaux d’obturation. Pour toutes les taches de fluorose ou de MIH (hypominéralisation de l’émail au niveau des incisives et molaires), l’éclaircissement dentaire n’est qu’un préalable à un autre traitement.

Inlays-Onlays

Lorsqu’une carie est très étendue et qu’une réparation classique par composite ou amalgame est impossible, nous vous conseillons la réalisation d’un inlay ou d’un onlay. Il s’agit d’un dispositif « sur mesure », réalisé par notre prothésiste. Il est donc exactement adapté à la cavité, à la dent support, aux dents controlatérales , ainsi qu’aux antagonistes. Il présente des propriétés bio-mécaniques comparables à celles d’une dent saine. Il est une excellente alternative à une couronne lorsque la dent le permet. Il est fixé à la dent par collage (protocole rigoureux permettant à la dent de rester étanche).

L’inlay-onlay s’impose aujourd’hui comme la technique de restauration la plus sûre, et offre les meilleures perspectives d’avenir à vos dents. La résistance mécanique des inlays et des onlays est bien meilleure que celle des plombages dentaires et des résines réalisés directement au cabinet par les techniques classiques. Par ailleurs, les inlays et les onlays permettent d’obtenir un joint de meilleure qualité qu’avec une obturation classique. On augmente ainsi la fiabilité du point de contact avec les dents adjacentes, ce qui permet de réduire le risque de reprise de carie et les problèmes d’inflammation gingivale. Dans le cas de caries de volume important, la réalisation d’un inlay ou d’un onlay permet souvent d’éviter de réaliser une couronne dentaire qui entraînerait un délabrement plus important de votre dent.

Les composites stratifiés

Lorsqu’un délabrement survient sur une dent antérieure (visible, où l’esthétique est une priorité), et que l’indication n’est ni une facette, ni une couronne, nous vous proposons de réaliser une restauration par un composite stratifié. Il s’agit de reconstituer la partie manquante de la dent, en respectant les différentes entités de la dent. Nous monterons différentes masses de dentine, d’émail, les particularités de la dent, en respectant la carte d’identité de la dent (établie selon une analyse et des relevés morphologique de la dent, cartographique de la couleur, cartographique de l’émail et de la dentine, topographique (état de surface)).

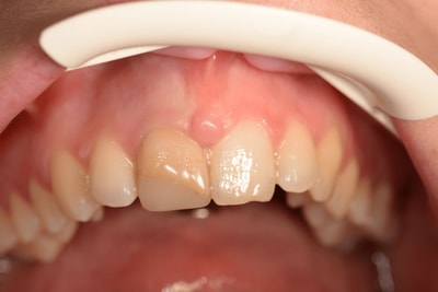
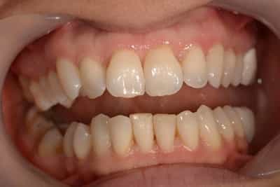
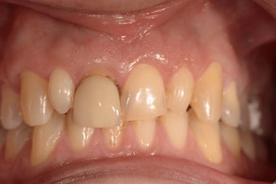
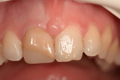
Les taches de l'émail

De nos jours, nous sommes de plus en plus confrontés à des tâches disgracieuses siégeant sur les dents antérieures. Les causes sont multiples. Que ce soient des fluoroses, des tâches blanches de l’émail, des tâches marrons , noires ou vertes, il faut savoir proposer, à notre patientèle, une solution simple et pérenne. En tenant compte des dernières évolutions scientifiques et industrielles, nous avons élaboré un protocole spécifique à chaque cas.

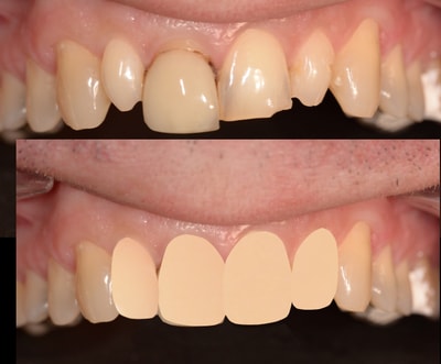
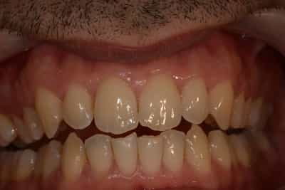
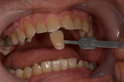
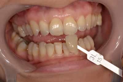
Esthétique du sourire DSD

Certains cas nécessitent une analyse de l’Esthétique du Sourire. Après une prise d’empreinte, l’appréciation de certaines mesures et la prise de clichés photographiques, nous étudierons la cohérence de votre sourire par rapport à certaines références, et vous proposerons, lorsque c’est nécessaire, une étude de votre cas. Elle sera accompagnée d’un projet esthétique virtuel.
Si ce projet est validé, nous validerons un essai (masque esthétique en bouche). En cas de validation, nous pourrons entamer les travaux esthétiques.

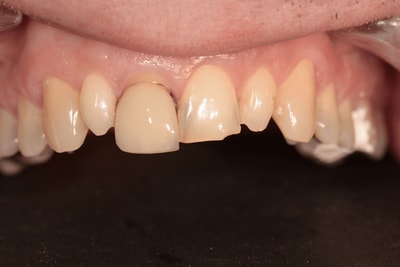
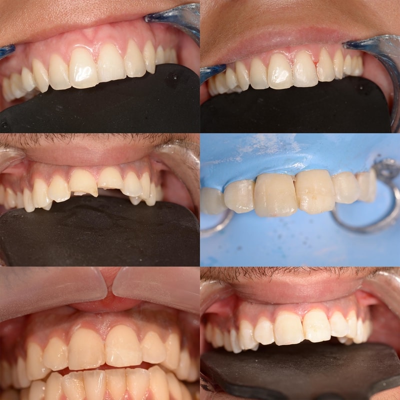
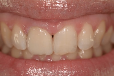
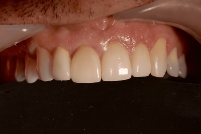
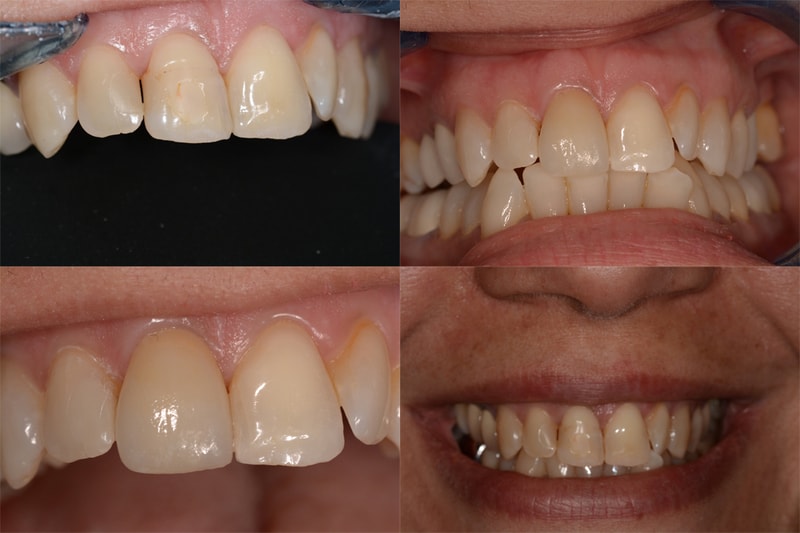
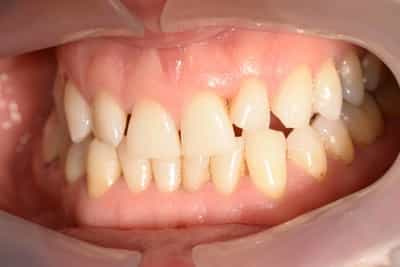
Cas numero 1 :

Situation Initiale

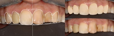
Etude du cas et proposition

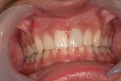
Cas terminé


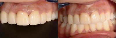
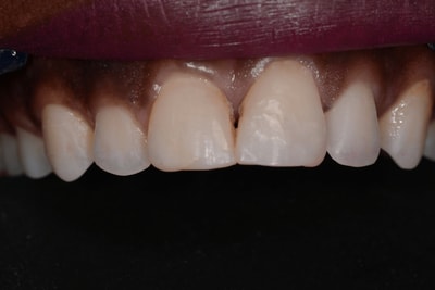
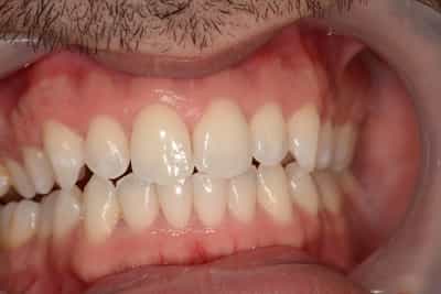
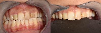
Cas numero 2 :

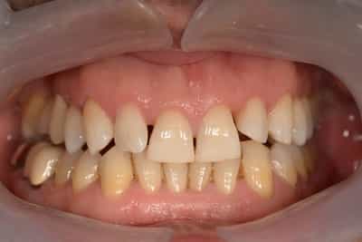
Situation Initiale

Etude du cas et proposition

Cas terminé

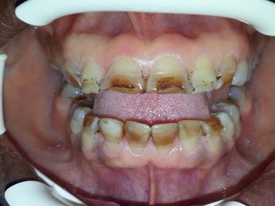
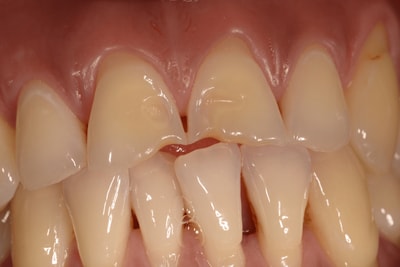
Les Usures

L’usure des dents n’est pas une maladie. Mais ce symptôme, de plus en plus fréquent et le plus souvent lié à notre hygiène de vie (alimentation, stress) et à des habitudes agressives de brossage, est difficile à prendre en charge. C’est pourquoi détecter précocement l’usure dentaire permet de corriger les facteurs aggravants.

L’usure des dents peut avoir une ou plusieurs origines.

Une origine mécanique :

L’utilisation d’une brosse à poils trop durs ou un brossage trop vigoureux qui peuvent entrainer un phénomène d’usure de l’émail.

Un brossage des dents réalisé immédiatement après avoir consommé des aliments acides.

Le bruxisme (grincer ou serrer les dents l’une contre l’autre)

Une origine chimique (on parle alors d’érosion), liés à la présence d’éléments acides dans la bouche :

La consommation excessive d’aliments ou de boissons acides tels que les sodas, l’alcool, les agrumes ou les sauces à base de vinaigre. Les médicaments comme la vitamine C ou l’aspirine dont l’acidité attaque les dents. Mais aussi certains antidépresseurs qui entrainent une réduction de la production de salive, protectrice naturelle des dents contre les attaques acides.

Certaines pathologies entrainant des vomissements et des reflux gastro-œsophagiens.

Le traitement passe tout d’abord par l’arrêt des “mauvaises” habitudes induisant les usures. Parfois il faut plusieurs séances pour que le patient trouve de quelle habitude il s’agit !

L’objectif ensuite est de protéger les dents dont l’émail a disparu en étant le plus conservateur possible ,c’est à dire en mutilant le moins possible la dent. En fonction de la sévérité de l’atteinte, les matériaux et les techniques différeront.On utilisera le plus possible des matériaux collés: des composites directs, des inlays, des overlays, des onlays, veneerlays, facettes ...

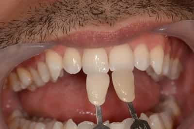
Les Facettes

Les facettes sont des revêtements très fins en céramique (environ 0,5 à 0,7 mm) qui sont collés sur la face externe des dents et permettent un embellissement durable du sourire. La technique des facettes céramiques permet de corriger durablement :

- La teinte des dents lorsqu’il existe des colorations en profondeur qui ne peuvent pas être traitées par un simple blanchiment.

- Les malpositions légères ou encombrements dentaires.

- Les anomalies de forme de la dent (trop étroite ou fracturée).

- Les usures et caries restaurées par des composites (= résines) disgracieux.

Deux séances suffisent pour cette transformation du sourire

Première séance : Le praticien effectue une préparation pelliculaire sur la face externe des dents du patient, en retirant seulement une infime couche d’émail (de 0,2 à 0,5 mm). L’intervention est indolore.Une empreinte des dents préparées est prise et envoyée au laboratoire avec les instructions pour la teinte et la forme souhaitées.

Deuxième séance : Les facettes céramiques élaborées quelques jours après sont essayées puis collées sur l’émail des dents. Le praticien pourra jouer, à ce moment encore, sur la teinte en utilisant des résines de collage plus ou moins claires.

Cette technique est tout à fait fiable, grâce à l’utilisation d’adhésifs très résistants dans le temps et au matériau céramique dont la surface vitrifiée permet un maintien permanent de la teinte au cours des années.

Elles présentent comme avantages de ne pas trop délabrer les dents supports et d’être fixées par collage (meilleure tenue et meilleure étanchéïté.

Les différents types de couronnes dentaires

La couronne dentaire en résine ou couronne dentaire provisoire

Elle protège la dent pendant les étapes de conception de la couronne dentaire définitive. Mais, avec le temps, la résine devient poreuse et les microbes passent au travers; il faut donc éviter de la garder trop longtemps. Elle n’est que transitoire, et ne doit pas se transformer en problème.

La couronne dentaire métallique

C’est la moins chère des couronnes dentaires prothétiques mais la moins esthétique. Elle reste néanmoins une prothèse dentaire d’excellente qualité. Le métal utilisé doit être choisi de façon judicieuse. En effet, la présence dans la bouche de nombreux métaux de natures différentes peut provoquer l’apparition d’un goût métallique, voire de légers picotements. Son prix et sa teinte varient en fonction du métal utilisé (alliage à base d’or ou non).

La couronne dentaire céramo-métallique

Elle est constituée d’une coque en métal recouverte d’une céramique qui a la même couleur que les dents. La présence de métal sous la céramique ne permet pas d’obtenir le même degré de translucidité que les dents naturelles ce qui peut donner un aspect opaque à la couronne.

La couronne dentaire tout céramique

Elle fait appel à des procédés de conception très évolués. Elle est constituée d’une armature en céramique extrêmement résistante, recouverte d’une céramique cosmétique de même couleur que les dents. Ces couronnes dentaires sans métal ont un excellent rendu esthétique et une biocompatibilité supérieure aux couronnes dentaires céramo-métalliques. Certaines peuvent être collées, d’où une meilleure tenue et une meilleure herméticité.

Depuis une quinzaine d’années environ, la réalisation de couronnes tout céramique s’est considérablement développée dans notre exercice quotidien. L’absence de métal, dans ces prothèses, présente de nombreux avantages : meilleure transmission de la lumière, mimétisme colorimétrique avec les dents naturelles, absence de corrosion et d’effet « flash » sur l’imagerie, moindre adhérence de la plaque.
Deux grands types de céramique sont généralement utilisés aujourd’hui pour la réalisation des couronnes périphériques : le disilicate de lithium et la zircone.

Le disilicate de lithium est une vitrocéramique renforcée disponible pour réaliser des pièces prothétiques depuis 2006. Le haut taux de cristaux de disilicate de lithium (70 %) dans la matrice vitreuse permet d’obtenir de bonnes propriétés mécaniques, tout en conservant des propriétés optiques d’excellente facture. On la privilégie pour tous les cas esthétiques, du fait de son excellent compromis esthético-mécanique. Généralement, on collera ce type de céramique.

L’oxyde de zirconium, communément appelé zircone, est une céramique dense introduite en odontologie depuis le début des années 2000. Cette céramique dite de haute ténacité permet grâce à d’excellentes propriétés mécaniques de réaliser des armatures de prothèses unitaires ou plurales qui sont ensuite généralement stratifiées. La zircone est réalisée par CFAO. Cette céramique est composée uniquement d’une phase cristalline sans phase vitreuse. Elle ne peut pas être assemblée facilement par collage. C’est un matériau relativement opaque, permettant ainsi de masquer des supports dyschromiés ou métalliques. Les indications de cette céramique sont donc les couronnes périphériques unitaires ou plurales avec des conditions cliniques de rétention mécanique correctes

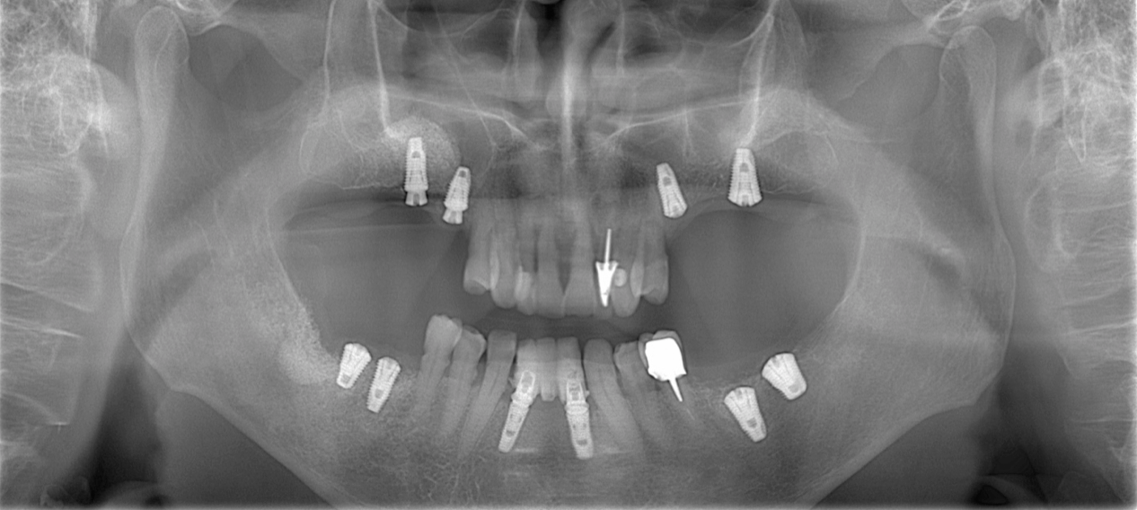
Les implants

L’implant dentaire permet de recréer une nouvelle racine artificielle, là où manque(nt) une ou plusieurs racines. Il peut être utiliser comme support pour remplacer une ou plusieurs dents manquantes (couronne ou bridge), ou comme attachement sous un appareil amovible (pour le stabiliser).
L’implant va se fixer dans l’os, et nécessite quelques explorations pour déterminer la possibilité de la réalisation. Il existe des contre-indications à la pose d’ implant, et la décision ne se fera qu’après réflection et prise en compte de tous ces éléments.
Diverses précautions sont à prendre après l’intervention. Généralement, les suites opératoires sont bénignes. La prise d’antalgiques reste modérée.
Après un laps de temps compris entre 3 et 6 mois (variable selon le cas et la qualité osseuse), l’implant sera instrumenté, et on pourra enfin lui donner une fonction au sein de la cavité buccale.

Il arrive que nous soyons obligés d’avoir recours à une intervention supplémentaire, pour permettre la pose des implants. Cela peut prendre la forme d’une ROG (régénération osseuse guidée) ou d’un relevé de sinus. Ces deux interventions se pratiquent couramment, et seul leur nom doit faire peur.

Chirurgie Guidée

L’implantologie moderne évolue vers un positionnement des implants dicté par la prothèse. Il permet et garantit un meilleur résultat esthétique, une meilleure distribution des forces et une hygiène facilitée. La combinaison de l’imagerie 3D et de logiciels de planification autorise des études préliminaires d’une grande finesse. On pourra ainsi visualiser la faisabilité prothétique d’un plan de traitement implantaire.

Au cabinet, pour les cas complexes, après réalisation d’une imagerie 3D (scanner ou cone beam), le cas sera étudié (avec un logiciel de planification), et une solution sera proposée. Dès validation, un guide chirurgical sera confectionné, dans l’absolu respect de la planification. Il permettra de positionner et placer chaque implant dans la position et l’axe pré-défini.

Plusieurs types de guides sont possibles. S’il reste des dents sur l’arcade, nous réaliserons un guide dento-porté (stable et précis). S’il ne reste aucune dent, nous devrons réaliser un guide ostéo-porté.

Ce type d’intervention permet au patient, de repartir le jour de l’intervention, avec une solution esthétique et fonctionnelle.